Patellar Luxation: Understanding Kneecap Dislocation
Patellar luxation is one of the most common orthopaedic conditions in dogs. In simple terms, it occurs when the patella (kneecap) dislocates or "pops out" of the trochlear groove, the natural track at the end of the thigh bone.
The knee is a complex mechanism where bones, tendons, and muscles must work in perfect unison. If there is a malalignment in the bones above or below the knee, the patella can dislocate. While common in small breeds like Terriers and Miniature Poodles, it is also frequently diagnosed in larger breeds such as Labradors.
At VSOS, we specialise in correcting the underlying structural issues that cause this instability. Our goal is to eliminate the "skipping" gait, or lameness you see by restoring the mechanical integrity of the quadriceps mechanism, ultimately returning both function and confidence to your pet’s every step.
Symptoms and the "Skipping" Lameness
The most common sign of patellar luxation is an intermittent "skipping" lameness, where a pet suddenly runs on three legs for a few steps before returning to normal. This happens because the pet is mechanically trying to "kick" the kneecap back into its groove.
Whether the dislocation is intermittent or permanent, the condition causes significant discomfort and predisposes the joint to osteoarthritis (OA). Over time, the repeated luxation wears away the protective cartilage on the underside of the patella, leading to chronic pain and inflammation.
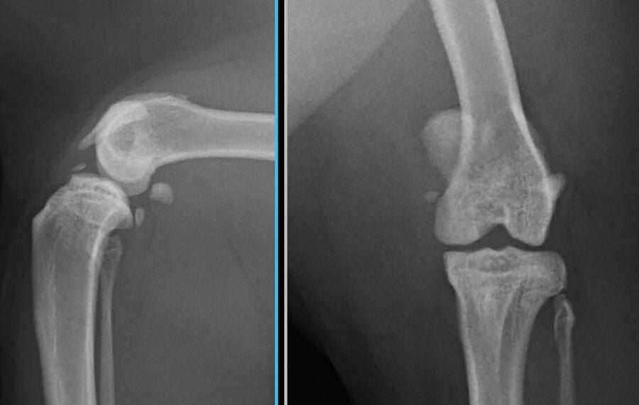
Grading and Clinical Decision Making
During your specialist consultation, we will assign a "Grade" to the luxation to help determine the best path forward. While many veterinarians consider patellar luxation a straightforward fix, achieving a perfect, long-term outcome requires choosing the correct procedure for the individual patient. The decision to perform surgery isn't always "one-size-fits-all," particularly in lower-grade cases.
The patella can be manually luxated but returns to the groove spontaneously. These are usually incidental findings and rarely require surgery.
The patella intermittently luxates on its own during movement.
- The VSOS Approach: For symptomatic dogs, surgery is almost always advised. For "silent" Grade II cases (no limping), we consider the pet’s age, activity level, and size. We often recommend surgery in young, active pets to prevent a lifetime of joint degradation.
The kneecap is out of the groove most of the time but can be pushed back in manually. These dogs generally have a more complex combination of femoral and tibial deformities and the dilemma here is not whether to perform surgery or not, but what type of surgery to perform.
The kneecap is permanently dislocated and cannot be moved back. This is a severe condition often associated with significant skeletal deformity and usually requires advanced reconstructive surgery
The VSOS Surgical Approach
Standard Procedures: Restoring the Balance
For most patients (Grades II-III), our specialist surgeons perform a combination of procedures to stabilise the joint and realign the "pulley" system of the knee:
Femoral Trochlear Sulcoplasty: Deepening the groove the patella sits in to create a secure "nest."
Tibial Tuberosity Transposition (TTT): Realigning the patellar tendon attachment point on the shin bone. This is a critical step to ensure the quadriceps pull the kneecap in a straight line, preventing recurrence.
Medial Release: Careful release of the tight soft tissues on the inside of the joint that are pulling the kneecap out of its track.
Lateral Joint Imbrication: Tightening the stretched tissues on the outside of the joint to help pull and hold the kneecap in its proper centered position.

Advanced Reconstruction for Grade III & IV
In severe cases, the limb may suffer from Complex Skeletal Malalignment—a multi-level combination of femoral and tibial deformities. In these cases standard procedures are often insufficient. At VSOS, we utilize advanced orthopaedic engineering to address these challenging cases.
Corrective Osteotomy (DFO)
If the thigh bone is bowed (a condition known as Distal Femoral Varus), it creates a mechanical pull that forces the kneecap out of place. To fix this, we perform a Distal Femoral Osteotomy (DFO). This procedure involves cutting the femur to straighten its alignment, ensuring the quadriceps mechanism pulls the kneecap in a perfectly straight line.
3D Planning & CT-Guided Surgery
Precision is vital when correcting bone deformities. We utilize high-resolution CT scans to create a three-dimensional map of your pet's limb. In complex cases, we use this data to design3D-printed, patient-specific cutting guides. These custom-made tools fit onto the bone during surgery, allowing our specialists to execute corrective cuts with sub-millimetre precision, tailored exactly to your pet's unique anatomy.
Patellar Groove Replacement (PGR)
In some severe or "end-stage" cases, the natural trochlear groove is so badly damaged, worn, or shallow that it cannot be effectively reshaped. For these patients, VSOS offers Patellar Groove Replacement (PGR).
The Technology: This involves replacing the natural bone groove with a specialised titanium prosthetic implant.
The Benefit: The prosthetic has an ultra-smooth, low-friction surface that mimics a healthy joint. It provides a deep, secure track for the kneecap to slide within, eliminating the bone-on-bone friction that causes chronic pain.
A Salvage Solution: PGR is a revolutionary "salvage" procedure that can restore pain-free function to knees that were previously considered untreatable.

Lateral Patellar Luxation (LPL)
While most cases involve the kneecap slipping toward the inside (medial), some pets—particularly larger breeds—experience Lateral Patellar Luxation (LPL), where it slips toward the outside. This is often associated with a "knock-kneed" (genu valgum) posture. Because the forces involved in lateral luxation are different, these cases often require the same advanced Distal Femoral Osteotomy (DFO) techniques used in severe medial cases to successfully realign the limb.
While patellar luxation is frequently discussed in relation to dogs, it is a significant orthopaedic condition in cats as well. Although cats are generally more agile and lightweight, a slipping kneecap can cause substantial dysfunction and long-term discomfort if left unaddressed.


Patellar Luxation in Cats
In cats, patellar luxation is almost always medial (the kneecap slips toward the inside of the leg). While it can occur due to trauma, it is most often a developmental condition. In cats, the patella is frequently significantly wider than the trochlear groove. Because of this disparity, we perform Tibial Tuberosity Transposition (TTT) less frequently in cats.
Instead, we are more likely to consider a Partial Parapatellectomy. This involves carefully resizing the kneecap itself so that it can finally seat deeply and securely within the femoral groove.This addresses the root mechanical issue without the need for more invasive bone-cutting procedures like TTT, which can be more complex in the delicate bones of a cat.
The Feline Difference: Subtle Signs
Cats are masters at hiding chronic pain. Unlike the obvious "skipping" gait seen in dogs, a cat with patellar luxation may show much subtler signs:
Reduced Jumping: Reluctance to jump onto high surfaces (counters, beds) or "hitching" themselves up rather than a clean leap.
Crouched Gait: Walking with the hind end lower to the ground.
"Cow-Hocked" Appearance: The ankles (hocks) turning inward while the paws turn out.
Inactivity: Spending more time sleeping or hiding, which owners often mistake for "slowing down with age."
Associated Conditions: Hip Dysplasia
In many feline cases, patellar luxation does not occur in isolation. There is a strong clinical link between patellar luxation and hip dysplasia in cats. At VSOS, our specialist surgeons perform a comprehensive orthopaedic evaluation to ensure that a kneecap issue isn't being exacerbated by underlying hip instability.
&geometry(309x90))



