Elbow Dysplasia
Elbow dysplasia is one of the most common and often complex causes of front-limb lameness in growing dogs. Unlike a simple fracture, elbow dysplasia is a "suite" of conditions involving a mismatch in how the three bones of the elbow (the radius, ulna, and humerus) fit together.
At VSOS, we treat the elbow like a high-precision machine. When the pieces don't fit perfectly, the resulting friction leads to pain, inflammation, and progressive arthritis. Our goal is to identify the exact point of "wear and tear" and restore harmony to the joint.
The Components of Elbow Dysplasia
Elbow dysplasia is an umbrella term for several developmental issues. A dog may have one, or a combination, of the following:
Fragmented Medial Coronoid Process (FCP): A small piece of bone on the inside of the ulna breaks off or cracks due to abnormal pressure.
Osteochondritis Dissecans (OCD): A piece of cartilage separates from the bone, creating a painful "flap" in the joint.
Ununited Anconeal Process (UAP): A growth plate at the back of the elbow fails to fuse, leaving an unstable piece of bone.
Elbow Incongruity: The bones do not line up smoothly, creating a "step" that causes uneven weight distribution.

Medial Compartment Disease (MCD)
If elbow dysplasia is left untreated, it often progresses to Medial Compartment Disease. This is the "end-stage" of the condition where the cartilage on the inner (medial) side of the joint is completely worn away. This results in painful bone-on-bone contact, making even simple walks difficult for your pet.
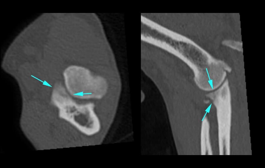
Precision Diagnosis: The Power of CT
X-rays often struggle to capture the fine details of the elbow joint. At VSOS, we utilise high-resolution CT Scanning as our gold standard for diagnosis.
A CT scan allows us to see the joint in 3D, identifying tiny cracks, bone fragments, or subtle misalignments (incongruity) that are invisible on standard X-rays. This precision allows our specialists to plan the exact surgical intervention required for your pet's unique anatomy.
Specialist Surgical Solutions
Every elbow requires a tailored approach based on the severity of the disease and the degree of cartilage wear.
Arthroscopy (Keyhole Surgery)
By far the most common procedure performed at VSOS, arthroscopy allows us to treat the joint with minimal invasion.
The Procedure: Using tiny cameras and micro-tools, we can visualise the entire joint interior.
The Benefit: We can precisely remove bone fragments (FCP) and perform a Subtotal Coronoid Ostectomy (SCO), removing a small portion of damaged bone to eliminate deep-seated pain, all through portals just a few millimetres wide.
Ulnar Osteotomies: Bone Realignment
If the bones are misaligned (incongruity), simply removing a fragment may not be enough. We must address the "mismatch" of the bones.
BOPDUO (Bi-Oblique Proximal Dynamic Ulnar Osteotomy): This advanced procedure involves a precisely angled cut of the ulna near the elbow. It allows the bone to "self-level" and shift naturally, "unloading" the painful medial compartment.
Distal Dynamic Ulnar Osteotomy (DDUO): This is a specialised variation used frequently in younger dogs, those with marked incongruity, or chondrodystrophic breeds (such as Dachshunds, Corgis, and Basset Hounds). By cutting the bone further down the leg, we provide the radius and ulna the freedom to realign during growth, reducing the devastating "step" within the joint.
Treating UAP: Stabilisation vs. Removal
An Ununited Anconeal Process (UAP) causes significant joint instability. We typically follow one of two pathways:
Stabilisation (The Preferred Path): In younger dogs, we "fix" the UAP using a precision screw. This is often combined with an ulnar osteotomy to relieve the pressure that caused the failure, allowing the bone to finally fuse.
Removal: If the fragment is too damaged or the condition is chronic, we surgically remove it to eliminate the "loose marble" effect in the joint and reduce immediate mechanical interference.
CUE (Canine Unicompartmental Elbow) Replacement
For dogs suffering from severe Medial Compartment Disease, we offer the CUE procedure. This "partial" elbow replacement installs a synthetic buffer to eliminate bone-on-bone friction, restoring pain-free mobility to dogs who previously had few options.
Professional Rehabilitation: Included in Your Care
Because the elbow is a high-motion joint, post-operative "stiffness" is the enemy of a good result. Your surgery fee at VSOS includes your first rehabilitation session at our Miranda clinic (272 President Avenue).
At 10 to 14 days after surgery, our certified rehab team (CCRP/CCRT/CCRA) will remove your pet’s sutures and initiate a tailored recovery plan. This includes manual therapies to maintain range of motion and LASER therapy to reduce internal swelling and accelerate healing.
Transparent and Fair Pricing
We believe that specialist care should be accessible and predictable. VSOS offers transparent, fixed-price fees for most elbow procedures. Your package typically includes:
Specialist consultation and CT-guided surgical planning.
Advanced anaesthesia and specialist surgical intervention.
All surgical materials and high-precision implants.
Hospital care and your first Rehabilitation Session.

Is your dog "bobbing" their head when they walk?
The sooner we address the mechanical mismatch in the elbow, the better their long-term comfort will be.
&geometry(309x90))



