CUE: Canine Unicompartmental Elbow Replacement
When elbow dysplasia progresses to Medial Compartment Disease (MCD), the cartilage on the inner (medial) side of the joint is completely worn away. At this stage, standard arthroscopic cleaning or bone realignments may no longer provide sufficient relief because the problem is now bone-on-bone friction.
For these "end-stage" cases, VSOS offers the CUE (Canine Unicompartmental Elbow), a revolutionary partial joint replacement designed to restore function without the complexity or high risk of a total elbow replacement.
What exactly is the CUE?
Unlike a Total Elbow Replacement for dogs, which replaces the entire joint, the CUE is a "targeted resurfacing" procedure. It focuses specifically on the medial compartment, the area where 90% of elbow pain and wear occur.
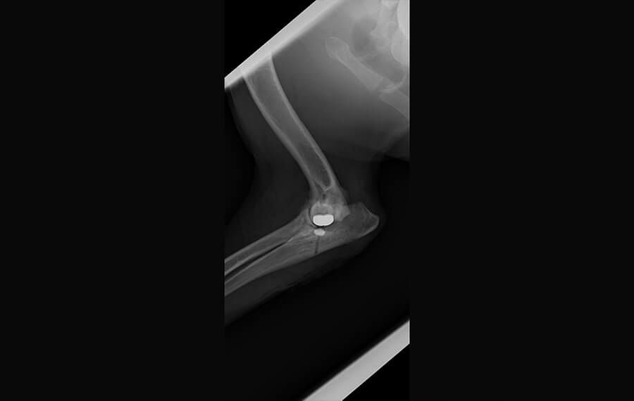
The Implants: We install a specialised metallic implant into the base of the humerus (thigh bone) and a high-strength synthetic "socket" into the ulna (shin bone).
The "Buffer" Effect: These implants meet in the middle to create a new, low-friction glide surface. This eliminates the painful grinding of raw bone against raw bone.
Preserving the Natural Joint: Because we only replace the worn-out section, the healthy "lateral" (outer) part of your dog's elbow is left completely intact. This preserves the natural stability and feel of the joint.

Is my dog a candidate for CUE?
The CUE is typically reserved for adult dogs where:
Cartilage is lost
A CT scan or arthroscopy has confirmed "eburnated" (bald) bone in the medial compartment.
Traditional treatments have failed
The dog is still painful despite fragment removal or ulnar osteotomies.
The lateral joint is healthy
The outer half of the elbow must still have good cartilage to support the new implant.
Why choose CUE over a Total Elbow Replacement?
While total joint replacements are available, they carry a significantly higher risk of complications and require a much more invasive recovery. The CUE offers a "middle ground" with:
Reduced Risk: Lower rates of infection or implant failure compared to total replacements.
Faster Recovery: Most dogs return to comfortable weight-bearing much sooner.
A "Salvage" Solution: It provides a second chance for dogs who would otherwise be relegated to heavy, lifelong pain medication.

Life After CUE
The goal of the CUE is to return your dog to a life of comfortable, low-impact activity. While they may not return to high-intensity agility or police work, they can once again enjoy long walks, play in the park, and move without the constant "grind" of a failing joint.
&geometry(309x90))



