Orthopaedic Fractures: Expert Care for Your Pet
We understand that discovering your pet has suffered an injury is an incredibly stressful experience.
Whether it was a sudden accident or a gradual realisation that something isn't right, your primary concern is their comfort and long-term health. At Veterinary Specialists of Sydney (VSOS), our goal is to provide calm, expert guidance and world-class surgical intervention to get your pet back on its feet.
Identifying a Fracture: When to Seek Help
The cause of a fracture or traumatic injury can vary depending on a pet’s age, activity level and lifestyle. In adult animals, fractures are often linked to high-impact trauma, such as traffic accidents, falls from heights or blunt-force collisions. In puppies and kittens, even seemingly minor incidents, such as rough play, animal fights or landing awkwardly from a jump, can result in a break.
Whether the injury happens during sport or agility, or from an unexpected backyard mishap, early assessment is important. If you have any concerns, bring your pet to the VSOS 24/7 Emergency Vet Hospital in Miranda, Sydney, where our emergency team can assess the injury and coordinate specialist support if needed.
Identifying a Fracture: When to Seek Help
It is not always immediately obvious if a bone is broken, especially if the injury occurred out of sight. However, there are several key indicators that your pet requires urgent veterinary attention:
- Sudden Lameness: An inability to bear any weight on a limb is the most common sign of a fracture.
- Visible Deformity: You may notice a difference in how they carry the leg or an unusual angle in the limb's shape.
- Significant Pain: Your pet may seem suddenly distressed or vocalise when the area is touched.
- Behavioural Changes: Pain can cause even the most sweet-natured pets to snap or bite instinctively.
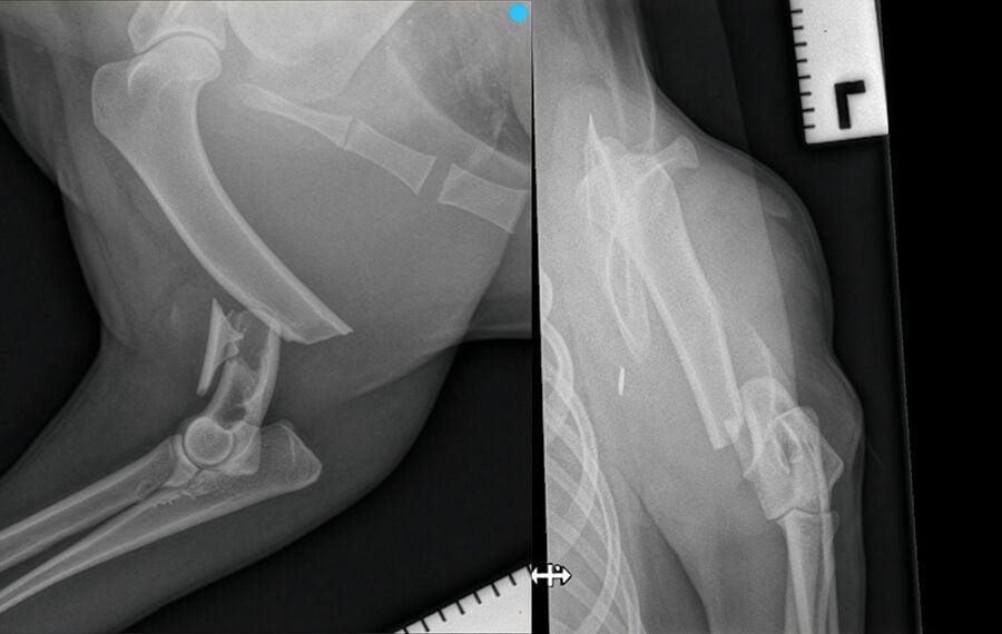
Understanding the Type of Fracture
Not all breaks are the same, and identifying the specific classification of a fracture is the first step in choosing the most effective repair method.
Closed vs. Open (Compound) Fractures: A closed fracture is one where the skin remains intact. An open fracture involves the bone breaking through the skin; these are surgical emergencies due to the high risk of infection.
Greenstick Fractures: Common in younger animals, these are incomplete breaks where the bone bends and cracks rather than snapping entirely.
Comminuted Fractures: These occur when the bone has shattered into multiple pieces, often resulting from high-impact trauma like vehicle accidents.
Articular Fractures: These involve the joint surface and are highly complex, requiring specialist intervention to prevent long-term, debilitating arthritis.
Special Note for Cat Owners
While the information on this page applies to all pets, cats often hide their symptoms and may require a different surgical approach due to their unique anatomy and bone density. If you are concerned about your feline companion, please visit our dedicated Feline Orthopaedics page to learn more about how we manage these "Master Disguise" patients.
Immediate Steps: What to Do Now
If you suspect your pet has a fracture, seeking medical care as quickly as possible is the most important step.
Keep them confined:
Secure your pet in a small area or carrier to prevent further injury.
Secure your pet in a small area or carrier to prevent further injury.
Exercise caution:
Use extreme care when handling them. Because they are in pain, even normally sweet pets may bite.
Use extreme care when handling them. Because they are in pain, even normally sweet pets may bite.
Transport carefully:
Gently lift them into the car. While stretchers are rarely available at home, careful handling is sufficient to get them to medical care.
Gently lift them into the car. While stretchers are rarely available at home, careful handling is sufficient to get them to medical care.
Look for other injuries:
Following vehicle trauma, look for signs of first aid needs and other visible injuries, though many internal issues may be hidden.
Following vehicle trauma, look for signs of first aid needs and other visible injuries, though many internal issues may be hidden.
The VSOS Stabilisation Process - Advanced Treatment Centre
When a trauma patient arrives at our Advanced Treatment and Emergency Centre in Miranda, Sydney, they are immediately triaged by our emergency team. Before any surgical repair begins, our primary focus is the overall assessment and stabilisation of your pet.
While for some pets, a fractured limb may be the only injury, high-impact trauma such as vehicle accidents can also cause "delayed" internal injuries to organs like the bladder or liver, as well as internal bleeding. To ensure your pet is stable enough for surgery, we utilise:
Advanced Diagnostics: Readily available X-ray, Ultrasound, and CT scans to detect internal trauma.
Comprehensive Blood Testing: To check organ function and identify hints of internal injuries.
Specialist Oversight: Our surgical specialists are available for consultation from the moment your pet arrives, ensuring the best path forward is established early.
Learn more about VSOS 24/7 Emergency Vet Hospital >

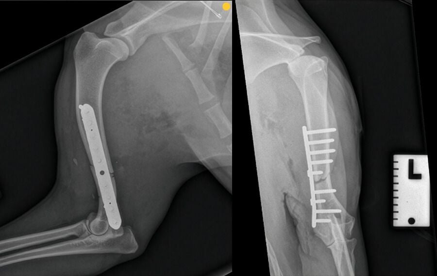
Casts vs. Surgery: Why Internal Repair is Often Best
While a temporary splint is often helpful for initial care and transport, specialists often recommend surgical repair over traditional casting for long-term recovery.
The Benefit of Specialist Surgery
By using internal hardware such as bone plates, screws, or interlocking nails, we can achieve:

Millimetre Precision
We can align the bone perfectly when necessar, which is critical for fractures involving joints to prevent future arthritis.

Increased Stability
Surgery stops the painful "grating" of bone ends and provides immediate support while allowing the tissues to heal.

Earlier Mobility
Internal fixation allows your pet to begin gentle weight-bearing sooner than they could in a restrictive cast.
Our surgical theatres are state-of-the-art and include intraoperative fluoroscopy (a moving X-ray). This allows our surgeons to see exactly what is happening within the bone in real-time, ensuring implants are placed with absolute precision. Furthermore, a specialist anaesthetist oversees every procedure, providing a level of safety not commonly found in general practice.
Managing Risks and Complications
At VSOS, we believe in "Shared Decision Making". While our success rates for fracture repairs are exceptionally high, we are transparent about the potential risks:
Infection: We mitigate this through our state-of-the-art sterile theatres and strict peri-operative antibiotic protocols.
Implant Failure: This is rare but can occur if a pet is too active during the initial healing phase. This is why the six to eight weeks of strict confinement is so critical.
Delayed Healing: Some pets, especially seniors or those with underlying health issues, may take longer to knit bone together.
Why VSOS in Sydney, is the Gold Standard for Trauma
While many general practices are excellent, the VSOS Advanced Treatment and Emergency Centre in Miranda provides a level of 24/7 care that is vital for trauma recovery.
Continuous Monitoring: Our emergency doctors and nurses are on-site 24/7, ensuring your pet’s pain relief and stability are managed around the clock.
In-House Specialists: Having specialist surgeons, critical care specialists, anaesthetists and other specialists in one building means that if a complication arises, we have the expertise on hand to solve it immediately.
The Best Technology: From intraoperative fluoroscopy to CT and MRI, we have every tool required to ensure your pet's repair is perfect the first time.
The Road to Recovery
For most trauma situations, our expectation is that your pet will return to normal comfort and function.
Successful healing requires roughly 6 to 8 weeks of strict confinement and controlled activity. To support this, we offer physical rehabilitation to optimise the outcome; in fact, the initial rehabilitation session is typically included in most of our fracture repairs.
&geometry(309x90))





